MENU

GET IN TOUCH

Back

3D Attention UNet++ Brain Tumor Segmentation

Year

2025

Tech & Technique

PyTorch, 3D CNNs, BraTS Dataset, MONAI, NumPy, Matplotlib, ITK

Description

🏆 2nd Place, Hack for Research 2025
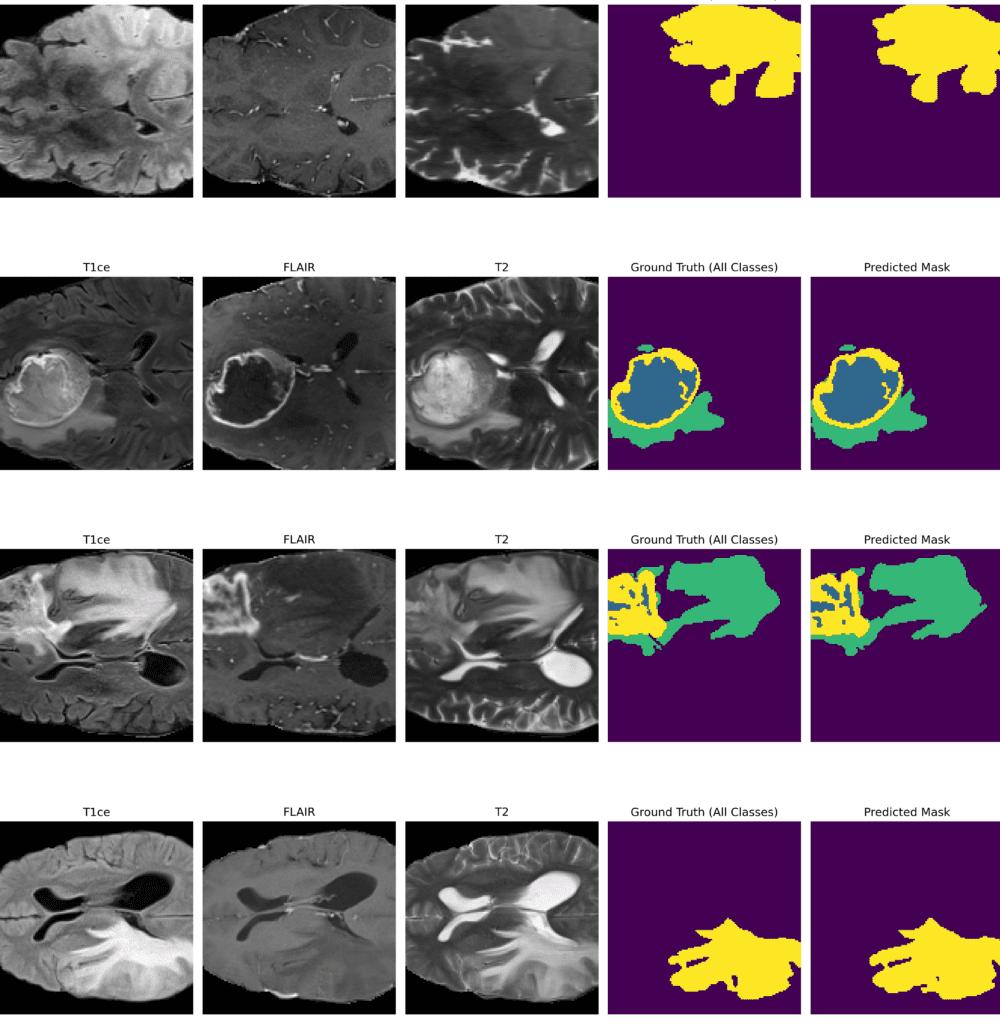
Advanced 3D Attention UNet framework for multimodal MRI brain tumor segmentation and survival prediction, designed for precise volumetric analysis of gliomas. The model leverages attention mechanisms to selectively focus on tumor-relevant regions, achieving high Dice similarity and robust boundary delineation on the BraTS dataset.

Key Features:
  • 🧠 3D Attention UNet Architecture: Integrates attention gates into UNet3D to suppress irrelevant regions and enhance tumor-focused feature learning.
  • 🧬 Multi-Modal MRI Fusion: Supports FLAIR, T1, T1CE, and T2 modalities for comprehensive tumor representation.
  • 🎯 High Segmentation Accuracy: Achieved Dice scores > 0.90 across tumor sub-regions (WT, TC, ET).
  • 📊 Survival Prediction Module: Includes optional regression/classification head for patient survival estimation.
  • ⚙️ Deep Supervision & Residual Learning: Improves gradient flow and stabilizes training for 3D volumes.

Architecture Overview:
  • Encoder–Decoder UNet3D Backbone: Captures hierarchical spatial features from volumetric MRI inputs.
  • Attention Gates: Dynamically weight skip-connection features based on tumor relevance.
  • Multi-Scale Feature Aggregation: Preserves fine-grained tumor boundaries across resolutions.
  • Joint Learning Setup: Enables simultaneous tumor segmentation and survival prediction.

Technical Highlights:
  • Built with PyTorch using a modular and extensible training pipeline
  • Advanced preprocessing: normalization, patch extraction, rotation, flipping, and intensity augmentation
  • Evaluated using Dice Score, Hausdorff Distance, Sensitivity, and Specificity
  • Adapted from PyTorch-3DUNet and optimized for BraTS MRI datasets

My Role

Team Lead
Research and Development of the Model:
  • ✅ Achieved Dice Score > 0.90 across all tumor sub-regions
  • 🎨 Accuracy of 20% improve combining multimodel COUNCIL
  • 🔄 Sensitivity of 96.5% and neglecting the noise in segmentation
  • 🖥️ Inference Time of 0.8 seconds per volume
Model Architecture
3D UNet++ backbone with attention gates and deep supervision for stable volumetric learning.
Multimodal MRI Inputs
Fusion of FLAIR/T1/T1CE/T2 modalities to capture complementary tumor signals.
Segmentation Outputs
Predicted tumor subregions (WT/TC/ET) with strong boundary delineation on BraTS samples.
Metrics & Validation
Quantitative evaluation using Dice and Hausdorff distance with sensitivity/specificity analysis.

VISHAL-KRISHNA

vishalkrishnakkr@gmail.com